インプラント手術をより成功させるために
治癒を促進させる CGF
採血した血液をメディフィージュという機械にかけて、遠心分離でコラーゲンの一種(CGF)を作る方法。
患者さん自身の血から採取したCGFを使用することで創傷治癒促進(傷を早く治し)、GBRなど骨造成時での感染を防ぐ効果、痛みを少なくするなど多くの利点をもっています。
| CGF作製方法とCGFを使用した治療例 | |
|---|---|
![]() | メディフュージュ本体 |
![]() | 採血した血液を試験管に移す |
![]() | ふたを開けたところ。試験管がセットされている |
![]() | 遠心分離が終わった試験管(3本分) |
![]() | 3本分のCGFのみを取り出したところ。 下の赤血球部分は捨てている。 |
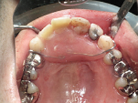
![]() | 上の歯を2本抜歯したところ |
![]() | 抜歯窩に、CGFを填入 |
![]() | 縫合(まだ、途中です) |
![]() | 仮の入れ歯を装着 |
インプラント手術を最適な状態で行えるように加藤歯科医院ではさまざまな治療を患者様にあわせて併用しています。
たとえば歯並びがおかしくインプラントを入れるスペースが足りない場合は矯正歯科と、きれいな白い上部構造物をつけたのにまわりの自分の歯が黄ばんでいたら審美歯科と専門知識を活かした治療も行えます。











